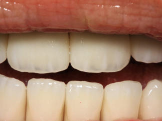
fémkerámia korona
A
fémkerámia
korona
jól
bevált,
gyakran
választott
fogpótlás
típus,
melyet
elsősorban
a
rágózónában
található
foghiányok
pótlására
javaslunk.
Front
területeken
is
alkalmazható,
bár
manapság
ezen
a
területen
egyre
többen
a
fémmentes
cirkon
porcelán
fogpótlásokat,
koronákat
választják
magasabb
esztétikai
értéke
miatt.
A
fémváz
anyaga
többféle
lehet,
az
egyszerűbb
fémtől
a
nikkelmentes
antiallergén
fémen
át
az
aranyötvözetig.
A
természethű
porcelán
leplezés
alapja
a
fémváz.
Ez
a
fajta
fogpótlás
kerülhet
önállóan
egy-egy
fogra
szóló
koronaként,
vagy
pótolhatunk
vele
hiányzó
fogat
is,
ekkor fémkerámia híd készül.
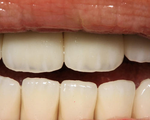
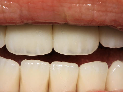
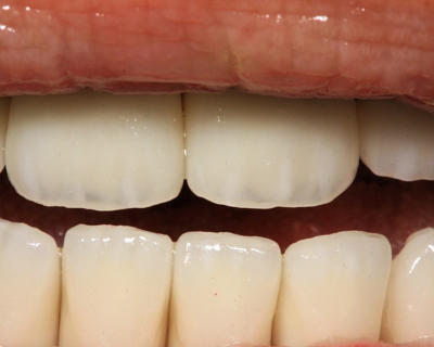
cirkon
A
természetes,
gyönyörű
mosoly
varázslása
elvárt
követelmény
egy
modern
fogászati
rendelőben.
A
megnövekedett
esztétikai
igények
komoly
kihívást
jelentenek
mind
a
fogorvos,
mind
a
fogtechnikus
számára.A
cirkon
kerámia
minden
igénynek
megfelel.
Élethű,
természetes,
esztétikus,
harmonizál
a
meglévő
fogakkal
és
jobb
a
fényáteresztő
képessége.
Saját
fogainkkal
szinte
teljesen
megegyező
tulajdonságokkal
bír.
Belső
váza
szilárd,
mely
képessé
teszi
akár
szóló
esztétikus
koronák,
vagy
körhíd
készítésére
is.Fémmentessége
miatt
fémallergiában
szenvedő
páciensek is hordhatnak ilyen pótlást.
inlay, onlay, overlay
(arany , porcelán, kompozit betét)
Az
inlay
készülhet
aranyból,
kerámiából
illetve
kompozitból
(esztétikus).
Az
arany
inlay
és
az
esztétikus inlay-k különböző előnyökkel bírnak.
Az
arany
inlay
a
legjobb
-
fogtechnikus
által
készített
-
betét.
Az
arany
egyik
előnyös
fizikai
tulajdonsága,
hogy
jól
"kenhető",könnyen
a
fogakra
simítható.
Még
az
esetleges
szemmel
nem
látható
apró
pontatlanságok
is
kiküszöbölhetők.
Az
aranyat
azonban
sok
páciens
nem
érzi
esztétikusnak
a
saját
fogaktól
elütő
színe
miatt.
Hátránya
még
a
fogászati arany viszonylag magas arany ára.
A
páciensek
érdeklődése
nő
a
"láthatatlan",
a
fog
eredeti
színével
megegyező
fogpótlások
iránt,
így
egyre
inkább
a
porcelán
és
kompozit
inlay-k
mellett
döntenek,
melyek
kitűnő
esztétikai
eredményt biztosítanak.
kivehető fogpótlások
Kivehető
fogpótlást
akkor
készítünk
pácienseknek,
ha
a
hiányzó
fogak
pótlása
rögzített
fogmű segítségével már nem oldható meg.
A
kivehető
fogpótlások
fajtái:
teljes-
vagy
részleges
kivehető
fogsor;
részlegeskombinált
fémlemezes fogsor.
Teljes
kivehető
fogpótlás.
A
teljes
kivehető
fogsor
teljesen
fogatlan
állcsont
esetében
készül.
A
teljes
fogsor
helyettesíti
az
összes
fogat
a
felső
és
az
alsó
állkapcson.
Ezt
akkor
alkalmazzuk,
ha
a
helyreállítás
másképp
nem
oldható
meg.
Rögzítettségét
az
állcsontok
anatómiai
viszonyai,
valamint
a
szájpadlás
szívóhatása,
a
rágónyomás,
az
alsó
fogsor
esetében
pedig
a
gravitáció
biztosítja.
Esztétikus
műanyagból
készül.A
fogsor
alaplemezét
megerősíhetjük
ún.
fémhálóval,
amelynek
célja
a
protézis
szilárdságának
biztosítása.
A
fogsor
előnye,
hogy
helyreállítja
a
rágófunkciót,
magabiztos
megjelenést
ad
és
visszaadja
az
arc
harmóniáját.
Hátránya,
hogy
kevésbé
ellenálló
szélsőséges
fizikai,
kémiai
és
hőhatásokkal
szemben.
A
kivehető
protézis
viselését
meg
kell
szokni,
ami
napokat,
heteket
is
igénybe
vehet
viselőjének
érzékenységétől
függően.
A
stabilitást
fokozhatjuk
2-4
implantátum
beültetésével
és
azokon
történő
rögzítéssel
(patentok, teleszkópkoronák, ill. stéges megoldás).
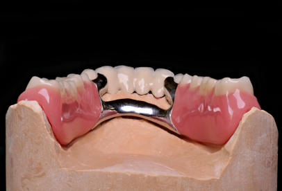
Részleges,
kombinált
fémlemezes
fogsor.
Ha
a
szájban
még
találhatóak
természetes
fogak
(amelyek
nagymértékben
megnövelik
a
fogpótlás
stabilitását),
de
rögzített
fogpótlás
kivitelezése
már
nem
lehetséges,
részleges
fémlemezes
fogpótlás
elkészítését
javasoljuk.
A
fogmű
a
maradó
fogakhoz
kapcsokkal
vagy
ún.
finommechanikai
(patentok,
csúsztatók)
rögzítőeszközök
segítségével
kapcsolódhat.Ezekkel
a
rögzítő-
rendszerekkel
pontos
illeszkedést
és
esztétikus
megjelenést lehet elérni.
CAD/CAM fogpótlások
(Computer Aided Design and Manufacturing)
A
modern
fogászat
elengedhetetlen
eszköze
a
CAD/CAM
eljárás,
amely
egy
számítógép
által
segített
tervezési
és
megmunkálási
folyamatot
jelent.
A
tervezés
során
a
fogtechnikus
szakember
egy
számítógépes
szoftver
segítségével
digitálisan
tervezi meg az elkészítendő fogpótlást.
Cégünk
2013
óta
rendelkezik
egy
csúcstechnológiás
CAD/CAM
rendszerrel.
A
technológia
legnagyobb
előnye
az
általa
készített
vázak
tökéletes
illeszkedése.
A
gép
a
tervek
alapján
0,005mm-es
pontossággal
készíti
el
cirkon
vázakat.
A
gyártás
kézi
beavatkozás
nélkül
történik.
Az
elkészült
koronák
és
hídvázak
végső
formáját
kerámia
leplezéssel
alakítjuk
ki
és
tesszük
egyedivé.
A
cirkónium
pótlások
a
természetes
fogakhoz
leginkább
hasonlóak
mind
esztétikájukban
mind
szilárdságukban.
Fémmentességük
miatt
fémallergiás
páciensek
is
hordhatnak
ilyen
fogpótlást.
Előnyös
tulajdonságai
miatt
nagyon
közkedveltek.
A
CAD/CAM
technológia
fogászati
felhasználása
lehetővé
tette,
hogy
a
legtartósabb
és
legpontosabb
fogpótlások
készüljenek el a mai kor evárásának megfelelően.
Fogpótlás Kapás Kft. | 6725 Szeged, Hattyas utca 12/D.
+36 30 2055-412 | impresszum